オールオン4
個別無料相談実施中!

カウンセリング・検査、お見積りまで
費用はかかりません

REASON

費用を抑えて
ご提供できる理由

費用を抑えてご提供できる理由
大手インプラントメーカー「Dio」との専属契約
より低価格での提供可能
大手インプラントメーカー「Dio」
との専属契約
より低価格での提供可能
専属契約
インプラント専門クリニックだからこそできる
一括仕入れにより材料費を大幅に削減
インプラント専門クリニック
だからこそできる一括仕入れにより
材料費を大幅に削減
reason
当院では、質を落とさず、コストを抑えた治療を実現しています。

MESSAGE

「オールオン4 やりたいけど…高くて迷ってしまう」
そんな方へ

オールオン4という治療法を知って「これでまたしっかり噛めるようになるかもしれない」そう思って希望を感じたものの…見積書を見て思わずため息をついてしまう方は少なくありません。
実際に、他院で上下700万円ほどの見積りを見て“腹は括ったつもりだったけど、やっぱり決めきれなかった”とお話しされる方もいらっしゃいます。
「本当にそこまで費用をかける価値があるのか…」「失敗したらどうしよう…」
そんな不安を感じるのは、決してあなただけではありません。
当院にも大阪北摂エリアはもちろん、東大阪市、岸和田市、堺市などの大阪全域から多くのご相談をいただいております。
さらに最近では、岡山県や岐阜県など、他県からわざわざ足を運んでくださる患者様も少なくありません。

そうした方々がよく口にされるのが「オールオン4って、こんなに治療費に違いがあるって知らなかった」という言葉です。

同じ“オールオン4”という名前でも、使用するインプラントの種類、治療計画、骨造成の有無、そして手術の難易度によって、費用の幅は大きく異なります。
だからこそ、見積金額だけで判断せず「自分にとって本当に必要な内容なのか」を確かめることが大切です。

見積りを見て諦めている方へ
本当にその価格が妥当なのでしょうか?

オールオン4の治療費は、担当する歯科医師や設計方針によって治療費が大きく変わることがあります。同じように見える治療でも、手術の難易度や使用する素材、術後のメンテナンス方法など、細かな設計の違いが費用差に影響します。
そのため、もし見積りを見て「やはり無理かも」と感じている方は、一度他のクリニックにもご相談されることをオススメします。
当院では、治療の質をしっかり担保しながらも、できる限り負担を軽減できるプランをご提案させて頂いております。セカンドオピニオンとして来院される方も多く、実際に治療を受けられた患者様からは、下記ようなお声を頂いております。
「前のクリニックと100万円くらい差があったのに、しっかり対応してくれて問題なく噛めるようになりました。」「治療後のケアのことや、長持ちさせる方法までしっかり考えてくれたのが嬉しかったです。」

CASE

オールオン4の治療事例

CASE 01
case
年代・性別
50代男性
治療期間
5ヶ月
治療費用
オールオン4 
220万円(税込)
CASE 02
case
年代・性別
50代男性
治療期間
5ヶ月
治療費用
オールオン4 
220万円(税込)
CASE 01
case
年代・性別
50代男性
治療期間
5ヶ月
治療費用
オールオン4 
220万円(税込)
CASE 02
case
年代・性別
50代男性
治療期間
5ヶ月
治療費用
オールオン4 
220万円(税込)
CASE 01
case
年代・性別
50代男性
治療期間
5ヶ月
治療費用
オールオン4 
220万円(税込)

リスク・副作用

術後には、まれに腫れや痛み、出血が生じる場合があり、慣れるまで発音に障害が出ることもあります。

すべての治療を
私が
担当させて頂きます

埋入実績500本以上。(院長個人の埋入実績)
心から「本当によかった」と
満足して頂ける
後悔させないオールオン4
  • JIADS ぺリオコース 修了
  • JIADS インプラントコース 修了
  • JIADS ペリオ インプラント 
    アドバンスコース 修了
  • 大森塾ADPR(Academy of Dental
    Practice and Research)
  • インプラント定位置埋入・
    マイナーGBRコース 修了
  • OJ (OSSEOINTEGRATION STUDY
    CLUB OF JAPAN) 会員
  • その他多数受講
name
experienced
当院の院長である寺井は、日本臨床歯周病学会の会員であり、
500本以上のインプラント埋入実績を持つ歯科医師です。
これまでに重度の歯周病で歯を失ってしまった方を含む難症例も多く執刀し、
確かな経験と技術で患者様に安全で安心の治療を提供しています。

CAUTION

オールオン4の寿命は
歯周病対策で決まる

長持ちする人と失敗する人の
決定的
オールオン4は「少ないインプラント本数で多くの人工歯を支える」革新的な治療法です。
しかし同時に、1本でもインプラントにトラブルが起きると全体に影響してしまうという繊細な側面を持っています。
特に注意すべきは「インプラント周囲炎」です。これは天然の歯の歯周病と同じように、インプラント周囲に炎症が起こり、骨が失われてしまう病気です。オールオン4の場合は、1本のインプラント周囲炎が、支えられている全体に波及し、やり直しを余儀なくされるケースも少なくありません。

見た目の美しさだけではダメ?
治療後に起こりやすい
トラブル

これまで数多くのインプラント治療を行ってきましたが、それと同時に、過去にインプラント治療を受けたものの、予後が悪く困っている患者様も多く拝見してきました。

その原因のほとんどは、

  • インプラント治療前に口腔内の環境(歯周病リスク)を整えきれていなかった
  • 治療後のメンテナンスや管理が不足していた

という、「歯周病・周囲炎」に関わるものです。

例えば、ほんの小さな配慮ですが、歯磨きがしやすい形態にインプラントの歯を設計するかどうか。たったそれだけの違いが、10年後の寿命に大きな影響を及ぼすのです。

つまり、インプラント治療、特にオールオン4は非常に繊細で、細部の設計や管理次第で長期予後が決まる治療だと言えます。

caution

に生じやすい問題と、その理由

オールオン4は、術直後から噛めるようになるというメリットがある一方で、術後5年ほど経ってからトラブルが出やすくなると報告されています。
その多くの原因は「治療後の管理不足」です。

  • 歯周病リスクを抱えたまま治療を行ったことで、炎症が再燃してしまう
  • 定期メンテナンスを怠ったことで異常が見過ごされる
  • 清掃性を考慮しない設計による汚れの蓄積
  • 噛み合わせの不具合が長期間放置され、インプラントに負担が集中

これらはすべて、歯周病に関する知識や管理の不足が原因で起こります。

caution

MAINTENANCE

歯周病に精通した

ドクター管理の重要性

当院の院長・寺井は、もともとペリオ(歯周病治療)に長けており、
インプラント周囲炎の構造や進行を熟知しています。

そのため、オールオン4においても、

  • 治療前に「歯周病リスク診断」を徹底
  • 手術時に「清掃性・長期維持性」を考えた形態設計
  • 術後には専任衛生士による徹底したクリーニングと管理
  • 小さな炎症の兆候でもすぐに対応できる体制

こうした「歯周病に基づく管理」を徹底しています。

汚れのつきにくい
オールオン4

resistant
resistant

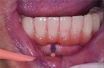
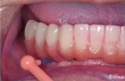
仮歯の段階で歯石や汚れのつきやすさをチェックします。
汚れのつきやすい箇所はつきにくくなるよう修正します。
この過程を丁寧に行う事で歯周病や歯周炎になりにくくオールオン4を長く維持することができます。

オールオン4を
「長持ちさせるかどうか」管理次第

オールオン4のセルフケア

care

管理方法で汚れ方は大きく変化します

汚れがつきやすい部分やつきにくい箇所を理解して定期的に確認しながら、長くオールオン4が使える取り組みに、当院では特に尽力しています。
歯周病や歯周炎の管理に詳しい歯科衛生士が管理方法を定期的にアドバイスさせて頂きます。

患者様のオールオン4は様々

患者様のオールオン4の形状はそれぞれ異なり清掃方法も異なります。
色々な清掃道具を使いながら、管理方法をわかりやすくご説明させて頂きます。

オールオン4
粘膜基底面の清掃効果

base 歯間ブラシ
base base base

歯間ブラシが一定方向で挿入できるとセルフケアも容易になります。

base ウォーターピック
base base

様々な先端形状があり、口腔内の状態に合わせて使い分ける事ができます。

base スーパーフロス

スーパーフロスは先端が硬くなっていて、中央部分はスポンジ状
スポンジ状の柔らかい部分が、掻き出すように汚れを絡めとるので、
歯とインプラントの間の汚れを効率よく取り除けます。

base BOP(+)

BOP(+)は、歯周ポケット(歯と歯茎の間の溝)にプローブ(探針)という
器具を入れた際に、出血があったことを示します。

定期的な検診を受け、必要に応じてセルフケアの再確認基底面の調整
行います。

日頃、どれだけ丁寧にセルフケアを行っても、ご自分で落としきれない汚れは必ず残ります。
インプラントと長く付き合っていくために欠かせないのは、セルフケアとメンテナンスです。

maintenance des

費用と時間をかけてせっかく入れたインプラントです。
おうちでのケアを入念にし、定期的にメンテナンスを受けることで、しっかり長持ちさせましょう。

anxiety
こうした不安から、治療を後回しにされる方は少なくありません。
しかし、歯を失う期間が長くなると、その分、治療費も高額になり、外科手術の回数も増えてしまい、患者様の金銭的・身体的な負担が大きくなります。その結果、「インプラントが難しい」と感じて入れ歯を使われる方が多いのも現実です。

そんな方にとって
負担を軽減できる
画期的な治療法が
オールオン4です。

reduce

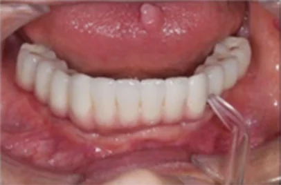
オールオン4とは?

オールオン4は、少ないインプラント(片顎4本)で全ての歯を支える治療法です。総入れ歯が合わない、噛むのに痛みを感じる、多くの歯を失っている、口内がボロボロになってしまった、という方に最適な治療です。

POINT!
  • 最小4本のインプラントでしっかり固定
  • 顎の骨を生かすので、骨を増やすような大掛かりな手術が不要

そして
通常のインプラント治療に比べて

reduce

従来のインプラント治療では、失った歯1本ごとにインプラントを埋入する必要があり、片顎に10数本のインプラントが必要になることも。
これにより、手術や費用の負担が大きくなります。
一方、オールオン4は
最小4本で顎全体を支えるため、負担を大幅に軽減できます。

MELIT

  • インプラントの本数を抑えられる
  • 顎の骨を利用し、治療負担が軽い
  • 手術回数が少なく、短期間で完了
MELIT

さらに!
骨量が少ない方にも
対応可能な治療法

suitable

オールオン4なら、顎の骨が少なく通常のインプラントが難しい方にも治療できる可能性があります。

通常、インプラント治療では十分な顎の骨の厚みが必要です。しかし、オールオン4は顎に斜めにインプラントを埋め込むため、骨量が少ない方でも骨移植をせずに対応できることが多いのです。

メリットがたくさん!
オールオン4は
こんな方におすすめです

残っている歯がほとんどない方
歯周病で歯が著しく弱っている方
総入れ歯で困っている方

当院では、オールオン4を
大阪でも最安値級でご提供しています

当院では、質を落とさず、コストを抑えた治療を実現しています。

REASON

費用を抑えて
ご提供できる理由

費用を抑えてご提供できる理由
大手インプラントメーカー「Dio」との専属契約
より低価格での提供可能
大手インプラントメーカー「Dio」
との専属契約
より低価格での提供可能
専属契約
インプラント専門クリニックだからこそできる
一括仕入れにより材料費を大幅に削減
インプラント専門クリニック
だからこそできる一括仕入れにより
材料費を大幅に削減
reason

FLOW

オールオン4の
治療の流れ

初診・
無料カウンセリング

まずは現在のお悩みやご希望をお聞きします。

flow

各種検査

お口の中の状況を把握するため、写真撮影やレントゲン、CT検査などを行います。

flow

治療説明・お見積もり

検査結果をもとに、治療方針と費用について詳しくご説明します。

flow

インプラント埋入手術

必要最小限のインプラントで効率的な手術を行います。

flow

当日の仮歯取り付け

仮歯を装着し、治療後すぐに日常生活が送れるようにします。

flow

治療終了

最終的な義歯を装着し、すべての治療が完了します。通院は最短4回で終了することが可能です。

オールオン4
個別無料相談実施中!

カウンセリング・検査、お見積りまで
費用はかかりません

FEE

オールオン4の治療費用

初診相談
0
CT撮影+診断料
1.1万円 (税込)
オールオン4(※4本のインプラントで固定)
220万円(税込)/片顎
オールオン6(※6本のインプラントで固定)
264万円(税込)/片顎
※症状によっては、骨造成や歯ぐきの治療が必要な場合はございます。

支払い方法

クレジットカード

payment
各種クレジットカードがご利用可能です。

デンタルローン

price
10
24,200円×119,
※初回は24,640円
支払回数60回
5
42,300円×59,
※初回は43,980円
支払回数60回
4
51,400円×47,
※初回は54,580円
支払回数60回
※上記はあくまで目安となりますので詳しい返済計画はローン会社にてご確認ください。
〒567-0876 大阪府茨木市天王1-6-19
gm MINAMI IBARAKI 1F

阪急・モノレール 「南茨木駅」 徒歩2分

time

▲ 土曜…9:00~12:00、13:00~16:00

072-646-9947 無料相談予約はこちら